Algorithm cuts down MRI scan time
The time taken to perform a magnetic-resonance-imaging (MRI) scan could be cut from 45 minutes down to just 15 minutes, thanks to a new algorithm developed at the Massachusetts Institute of Technology (MIT; Cambridge, MA, USA).
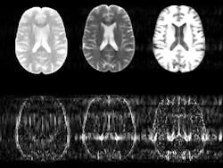
MRI scanners typically acquire a variety of images of the same body part. By comparing multiple images of the same region, radiologists can detect subtle abnormalities such as a developing tumor. But taking multiple scans of the same region in this way is time-consuming, meaning patients must spend long periods inside an MRI machine.
To reduce this time, the new image-processing algorithm uses data from the first scan to predict the likely position of the boundaries between different types of tissue in the subsequent scans.
The team is now working to further improve the new algorithm by speeding up the time it takes to process the data acquired into images that can be analyzed by clinicians.
Using standard computers, this final step currently takes considerably longer than with conventional MRI scans. But the researchers believe they can reduce this time by using graphics processing units (GPUs) to process the data.
-- By Dave Wilson, Senior Editor, Vision Systems Design
